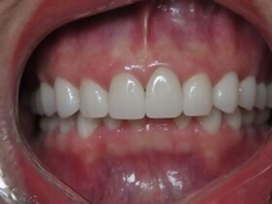
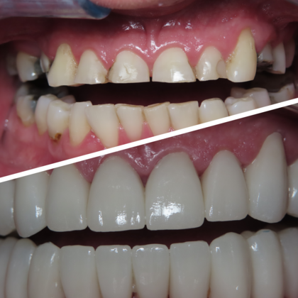
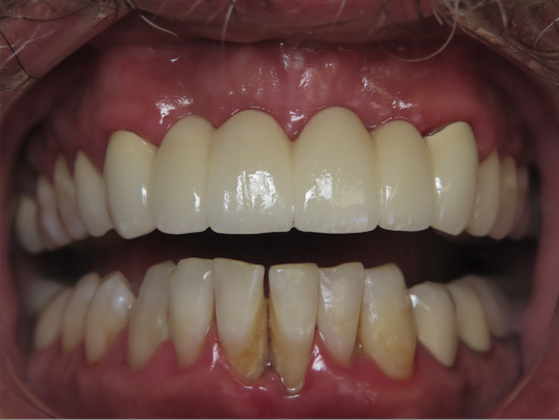
Pendergrass & Wilkie Dentistry is committed to helping you achieve excellent oral health through compassionate, professional, and personalized dental care. Drs. Tyler L. Pendergrass and Eric S. Wilkie are highly trained, trusted doctors who belong to leading organizations, including the:
To experience our advanced level of technology and welcoming dental office, call us at (806) 358-8801 or request a consultation online.
