All-on-4 Dental Implants Amarillo Smile Confidently Again
- Complete All-on-4® Treatment in One Location
- Precise Digital Technology and Surgical Guides
- Amarillo Dentists Who Treat You Like Family
- Affordable Excellence With Flexible Financing

Ready for a New Smile? Schedule Your Consultation With Drs. Pendergrass and Wilkie
At Pendergrass & Wilkie Dentistry, you can work directly with two of Amarillo’s most highly experienced implant dentists. Patients choose Dr. Pendergrass and Dr. Wilkie because they:
- Are Amarillo natives committed to personalized patient care
- Offer full-scope implant services completed entirely in-house
- Complete advanced implant planning with CEREC Primescan and GALILEOS 3D imaging
- Use surgical guides for every implant placement to enhance safety and predictability
- Offer sedation options for a comfortable, anxiety-free experience
- Prioritize competitive pricing and make flexible financing plans available
Your future smile is waiting. Contact our Amarillo dental office today to request your All-on-4 consultation.

“They go above and beyond.”
My experience was great I give them higher than a five star ⭐ they go above and beyond to make sure you are comfortable and they always ask if u are okay.very friendly and caring ,I would recommend to other people . God bless them all
View on GoogleI have been going to P&W for about 4 years now and have yet to be less than impressed with their office. The receptionists are always so kind and helpful when they answer the phone; in person they are efficient and extremely professional. I genuinely enjoy every member of the P&W team. I recommend them to anyone.
View on GoogleAffordable All-on-4 Treatment Insurance, Financing, and Flexible Payment Options
While most dental insurance plans don’t cover the cost of dental implants, many plans will contribute to the cost of implant-supported dentures or preparatory procedures like extractions. Our Amarillo team is happy to work with your insurance provider to maximize any and all benefits available to you.
We also accept financing through CareCredit, which offers flexible monthly terms. Qualified patients can take advantage of interest-free financing, making it easier to fit All-on-4 dental implants into your budget. Our goal is to eliminate financial barriers so you can enjoy a secure, confident smile without any delays.
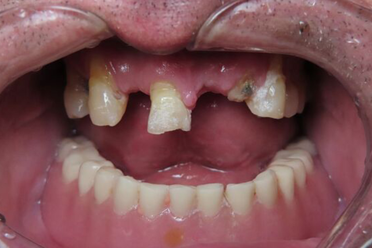
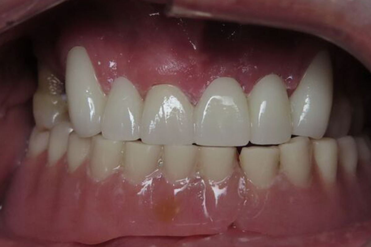
A Real Patient Transformation See the Difference Implant Dentures Can Make
Why Choose All-on-4 Implants? A Better Solution Than Traditional Dentures
No More Slipping or Embarrassing Moments
Unlike removable dentures, All-on-4 implant dentures are firmly anchored to your jawbone. You can eat, laugh, and speak freely without fear of shifting or slipping.
Preserve Your Jawbone and Facial Appearance
Tooth loss leads to bone loss, which can cause a sunken, aged look around the mouth. All-on-4 dental implants help preserve your jawbone to keep your facial structure strong and youthful-looking.
Experience a More Natural Look and Feel
Our All-on-4 dentures are crafted from high-end materials specifically designed to look and function like real teeth. You'll feel confident smiling wide in every photo and at every social gathering.
See Permanent Results Fast
With All-on-4, patients typically leave surgery with a fully functional temporary prosthetic already attached. That means you don't have to go another day without teeth. You’ll have a full smile immediately.

The All-on-4 Timeline What to Expect on Your Journey to a New Smile
The All-on-4 method allows many of our patients to undergo surgery and leave our office with a fully restored smile.
Delivering 5-Star Care
“Dr. Pendergrass and his staff go way above and beyond! I'm pretty sure Dr. Pendergrass is the most caring, best dentist in the US, maybe the world! I would highly recommend his office.”—James T., 5-Star Review
We Can Help Maintain Your Implant Denture
Just like natural teeth and traditional dentures, implant-supported dentures require occasional maintenance to remain in good condition. Our Amarillo dental team can assist with:
- Adjusting or relining your implant denture for optimal comfort
- Repairing minor chips, cracks, or wear
- Checking implant health during your regular checkups
Keeping your denture well-maintained ensures your investment lasts for many years to come. If you currently use a removable denture and are interested in upgrading to All-on-4, send us a message.

FAQ About All-on-4 Dental Implants in Amarillo, TX
Am I a candidate for All-on-4?
If you're missing most or all teeth in one or both arches, you could be an excellent candidate for All-on-4. Though many patients can skip bone grafting, some amount of healthy tissue is required for placement. Oral health concerns like gum disease and tooth decay must be addressed first. Our dentists will assess your case during your consultation.
How long does recovery take?
Initial healing after All-on-4 implant placement takes a few weeks, but it typically takes three to six months for the implants to fully fuse with your jaw (osseointegration). You’ll be wearing a lifelike and fully functional temporary denture the entire time.
How long do All-on-4 implants last?
With proper care, the implants themselves can last a lifetime. Dentures typically need to be replaced every 10 to 15 years, due to natural wear and tear.
What if I’m not a candidate for All-on-4?
Don’t worry! Dr. Pendergrass and Dr. Wilkie offer many alternatives, including traditional dentures, implant bridges, and more individualized implant treatment plans. If you're missing any number of teeth for any reason, you can find the right help with our team.
"Would highly recommend them."
I've been a patient at Pendergrass & Wilkie Dentistry for many, many years. I can't think of a better, more efficient and friendly dental firm. Dentists and techs there are well-trained, thorough, and dedicated to service. I recommend this outstanding practice enthusiastically.
View on GoogleThe staff and Dr. Wilkie went out of their way to do everything they could do to work me in for needed dental work while accommodating for my other special healthcare needs. I would highly recommend them.
View on Google




